Bé gái có 24 ngón tay, ngón chân do di truyền
Sinh ra với hai bàn tay, chân bị thừa ngón, dính ngón phức tạp, bé gái được phẫu thuật tạo hình để khôi phục khả năng vận động, cầm nắm.
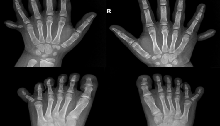
Bé Trang (7 tháng tuổi, ngụ Long An) đến phòng khám Ngoại Nhi BVĐK Tâm Anh TP.HCM trong tình trạng bàn tay và bàn chân bị dư ngón phức tạp. Cụ thể, ngón út trên bàn tay trái và phải bé thừa một mẩu thịt nhỏ, ngón cái bàn tay phải tách làm đôi, bàn chân phải có 2 ngón cái, ngón cái và ngón trỏ bàn chân trái dính nhau gần hết. Tổng cộng, hai bàn tay chân của cháu có 24 ngón thay vì 20 như bình thường.
Khai thác tiền sử, mẹ bé cũng mắc dị tật này, cho thấy nguyên nhân khiến bé bị dư ngón, dính ngón là do di truyền.
BS.CKII Nguyễn Đỗ Trọng, chuyên khoa Ngoại Nhi BVĐK Tâm Anh TP.HCM cho biết, thừa ngón là một trong những dị tật bẩm sinh phổ biến nhất, chiếm tỷ lệ 1/1.000 trẻ sinh ra. Tuy nhiên, thường trẻ chỉ bị thừa ngón tay hoặc ngón chân. Tỷ lệ thừa ngón bàn chân hiếm gặp, chỉ 0,4 trên 10.000 bệnh nhân. Trường hợp cả hai bàn tay và chân đều bị dị tật ngón như bé Trang rất hiếm, chứng tỏ bé mang gen bệnh ngay từ khi còn trong bào thai.
“Trẻ bị thừa ngón nên được phẫu thuật sớm, tốt nhất là trước 12 tháng tuổi. Nhờ đó, trẻ sẽ không bị tổn thương tâm lý khi nhận thức được bàn tay/bàn chân mình khác biệt so với các bạn. Khi bé Trang đến khám, nhận thấy bé đủ điều kiện sức khỏe cho ca mổ, chúng tôi quyết định làm tiểu phẫu để cắt bỏ ngón tay/chân thừa, tách dính ngón cho bé ngay”, bác sĩ Trọng chia sẻ.

Ngày 23/7, bác sĩ phẫu thuật loại bỏ mẩu thịt thừa ở những ngón dư, sau đó tạo hình lại ngón tay/chân, đưa bàn tay/chân trở về hình dạng bình thường, đảm bảo chức năng vận động. Với các ngón chân bị dính gần hết, bác sĩ tách hai ngón dính, tạo hình lại kẽ ngón và ghép da lên vùng ngón còn thiếu da che phủ. May mắn trục xương chưa bị biến dạng nên không cần nắn chỉnh. Sau hơn 1 giờ, thủ thuật kết thúc thành công.
Vài giờ sau ca mổ, bé Trang tỉnh táo, bú sữa và chơi đùa như bình thường. Theo dõi 2 ngày, bé hồi phục tốt, vết mổ khô, bác sĩ cho bé xuất viện. Bé được tái khám theo lịch để được đánh giá hoạt động của các ngón tay/chân, theo dõi sự phát triển của tứ chi nhằm đảm bảo chức năng cầm nắm, vận động của bé tương tự như những trẻ bình thường.
BS.CKII Nguyễn Đỗ Trọng thông tin, dựa trên vị trí của ngón thừa trên bàn tay/bàn chân, y khoa chia dị tật thừa ngón thành 3 loại: thừa ngón về phía trong (phía xương quay cẳng tay hay xương chày cẳng chân): ngón thừa nằm ngoài ngón cái, thừa ngón về phía ngoài (ngón thừa nằm ngoài ngón út) và thừa ngón trung tâm (ngón thừa nằm giữa các ngón khác). Một số ngón thừa chỉ là da và mô mềm nhô ra từ bàn tay/bàn chân. Trong khi đó, có trường hợp ngón phụ cũng có da, mô mềm và xương khớp tương tự như một ngón tay/chân bình thường. Cá biệt, có trường hợp các ngón tay/chân dính nhau một phần hoặc toàn bộ, gây khó khăn cho trẻ trong sinh hoạt và vận động. Trường hợp của bé Trang là dị tật thừa ngón về phía trong, xảy ra ở ngón tay cái.
Nguyên nhân phổ biến nhất khiến trẻ bị thừa ngón, dính ngón là do di truyền, cụ thể là sự bất thường về gen của em bé trong giai đoạn bào thai. Các nguyên nhân khác bao gồm thai phụ hút thuốc lá, lạm dụng rượu bia, mắc các bệnh truyền nhiễm như cúm, thủy đậu, rubella…
Để phòng ngừa nguy cơ trẻ sinh ra bị thừa ngón, 6 tháng trước khi mang thai và trong suốt thai kỳ, mẹ bầu cần duy trì lối sinh hoạt lành mạnh: tránh xa rượu bia, thuốc lá, chất kích thích, tiêm ngừa đầy đủ, ăn uống đủ chất, bổ sung vitamin và khoáng chất theo chỉ định của bác sĩ, đặc biệt là canxi, sắt và axit folic.
Vì dị tật di truyền mang tính trội, nên với các cặp vợ chồng có 1 trong 2 người bị dị tật thừa ngón, có thể thực hiện sàng lọc phôi rồi thụ tinh trong ống nghiệm. Việc làm này giúp loại trừ các phôi có bất thường về nhiễm sắc thể do di truyền từ cha mẹ, chọn phôi tốt để chuyển nhằm tăng cơ hội sinh con khỏe mạnh.
Để đặt lịch khám với các bác sĩ chuyên khoa Ngoại Nhi, Hệ thống BVĐK Tâm Anh, quý khách vui lòng liên hệ:
Ngoài ra, Quý khách hàng có thể tham khảo thêm sản phẩm Vương Não Khang chính hãng có bán tại Hệ Thống Nhà Thuốc Gia Hân Pharmacy & giao hàng trên toàn quốc.
Hệ Thống Nhà Thuốc Gia Hân Pharmacy là nơi Quý khách hàng yên tâm gửi trọn niềm tin để chăm sóc sức khoẻ cho cả gia đình mình.
Đến với chúng tôi, Quý khách hàng thoải mái trải nghiệm cảm giác mua sắm hàng chính hãng với giá tốt nhất đầy đủ các sản phẩm thuốc tây, thực phẩm bảo vệ sức khoẻ, mỹ phẩm, thiết bị y tế…
Comments are closed.